
Over the years there have been lots of different materials used to fill teeth with gold probably being the most popular and long lasting. Silver amalgam started being used in 1826 in the UK for restoring teeth and since then has developed in popularity and use as one of the most commonly used materials to restore the biting type teeth in our mouths.

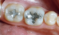
Amalgam fillings before replacement with dental composite material

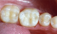
Dental composite fillings replacing original amalgam fillings
However, there have been concerns over the mercury content of this material and also practicalities such as how it looks and its functional aspects. Over the past sixty years tooth coloured composite, or ceramic fillings, have been developed and now their characteristics allow biting teeth to be restored to natural form and function with a material that lasts and looks great too.
The tooth coloured composites we use today mean we can retain as much tooth tissue as possible without having to make larger cavities that will retain a silver amalgam filling. The benefits to retaining as much tooth tissue as possible are immense and are much less likely to cause a bad reaction in the tooth too.
At The Gentle Dental Practice in East Molesey, Surrey, we use all the modern types of tooth coloured composite filling materials available. When restoring a front tooth we will use a very aesthetic type of material that replicates the colour and translucency of your natural incisors. When restoring the back biting teeth aesthetics are still important but our major concern is strength and so we use the stronger type of composite material.
Todays composites are strong, aesthetic, and with the correct technique, which our experienced team can deliver, will last just as long, if not longer than the old fashioned materials such as dental amalgam.
Composite does have its limitations, though, as did dental amalgam, and if a tooth requires a larger filling it will be worth considering an inlay, onlay or a crown. The great news for you is that these can all be provided at The Gentle Dental in one appointment with the use of our wonderful Cerec® machine.

Cerec® is a way of providing you with a tooth coloured, extremely strong restoration just like a dental technician would construct in a laboratory, the difference is that this can be made in our practice in East Molesey all in one appointment.
“Same day teeth” or “Teeth-in-a-Day” are extremely popular for great convenience, great strength and great aesthetics.
Our dentist, Dr Ali Rifai, will prepare your tooth and then scan your tooth with a very small camera. This is transferred to our computer which constructs a digital image of your tooth, all very high tech and of course great accuracy.
Patients also love not having to have messy impression material in their mouth!
The computer is linked to a milling machine and this data is then fed to the milling machine which allows a restoration to be milled out of a top quality ceramic block.
This block is then cemented into place in your tooth which is polished and finished and there you have it, a tooth back to beautiful form and function in one visit to the dentist!
There is a little waiting time while the machine does the work but during that time you can relax with a coffee, something to read or catch up on your emails in our patient lounge.

If you would like to find out more about this process why not call the practice and speak to Danielle who can answer all your questions and arrange an appointment for you too?
We look forward to seeing you soon.
Dr Ali Rifai BDS
Back to Blog“It feels like an absolute blessing to be able to chew food again ‘properly’. I am so thankful…
Fantastic Dentist, I haven't stopped recommending their care, skill and professionalism. The opening times and appointment availability is…
Dr Ali and his team created a Hollywood smile for me. I am absolutely thrilled. I had horrid…
I have been a patient of Dr Ali Rifai at The Gentle Dental Practice for a while now…
I am completely delighted with the results of my Invisalign treatment. Thank you so much Ali for all…
Dr Rifai and his staff have been looking after my mother for several years, she's in her 90s…
I had a tooth filling with Ali at The Gentle Dental Practice recently. The finished filling is amazing…
I have recently been coming here to have work on my teeth and I’ve enjoyed every moment of…
What an amazing dental practice. Everyone is so friendly and helpful. Dr Ali is great and understanding. I…
Ali is an excellent dentist. He also cares very much for patient well being. Ali also went beyond…
Did a great job of straightening my teeth with invisalign treatment!
Amazing service! You can have a crown made whilst you wait, and no more horrible moulds!! Highly recommend…
I visited The practice for the first time yesterday and had emergency dental treatment. Ali was absolutely brilliant…
I am delighted to be able to offer my thoughts regarding the dental work offered by Dr Rifai.…